
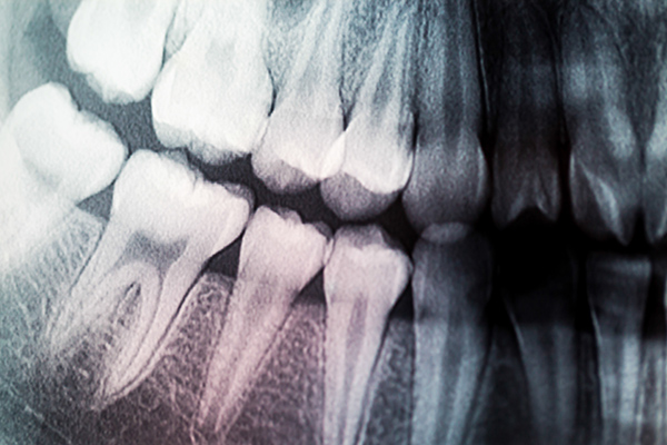
General dentistry care can offer many benefits for your oral health. Dental X-rays are an important diagnostic tool that can reveal problems not visible to the naked eye, including cavities between teeth, bone loss due to gum disease, abscesses, tumors, cysts, and impacted teeth. Different types of X-rays include bitewing X-rays, periapical X-rays, and panoramic X-rays. X-rays are safe and use very low levels of radiation. Your dentist uses this information to develop a complete treatment plan for your oral health.



Ready to schedule your appointment?
